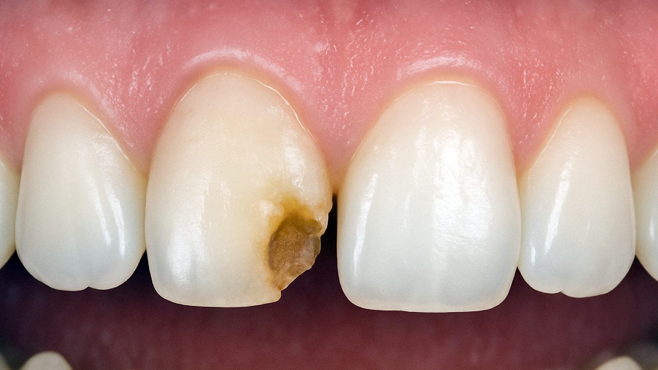
Crowns are an ideal way of restoring teeth which are broken, have an unsightly filling or are weak and decayed. Besides strengthening tooth, a crown can be used to improve its appearance, shape or alignment. The crown fits over the remainder of the tooth and are sometimes called “caps”.

Dental crowns protect and strengthen damaged or weakened teeth, allowing you to chew and bite normally.
Crowns cover the entire tooth, preventing further damage and reducing the risk of tooth loss.
Crowns are designed to match the colour and shape of natural teeth, enhancing your smile.
Crowns help protect and reinforce teeth that have undergone root canal therapy.
With proper care, dental crowns can last many years, providing reliable protection and function.
This involves removing enough tooth tissue to allow room for the crown when fitted (local anaesthetic is needed if the tooth is still alive) The amount removed varies with the type of crown. Impressions are taken of your top and bottom teeth, to allow the technician to construct the crown in the laboratory. A temporary plastic crown is fitted. The shades available for temporary crowns are limited and may not be a perfect match to your existing teeth, but they are only there until the crown is made, which often takes about 2 weeks.
Approximately 40 minutes is required for tooth preparation, impressions and fitting the temporary crown. It takes around 2 weeks for the technician to make the crown (this time can sometimes be reduced if the technician is paid a private fee).
A post is a metal support used to help hold the crown to the tooth. It is only needed where the tooth is root filled and badly broken.
With correct care the crown will last many years. However the gum above the crown will shrink and the join may begin to show with advancing years, needing its replacement several times in ones lifetime.
We are a modern, progressive dental practice in the centre of Middlesbrough providing high quality dental care in pleasant and relaxed surroundings.
Our warm, friendly staff are on hand to put you at ease and see that your needs are met. Whether you are one of our loyal patients or you are considering joining our practice, we hope these pages will be useful to you.
Copyright 2025, Select Dental. All Rights Reserved.